Preclinical Imaging Research
The UCSF Physics Research Laboratory maintains several small animal imaging resources in collaboration with other groups. These imaging resources are housed in the MicroPET/CT, MicroSPECT/CT, MicroCT, and Optical Imaging Core Facility at China Basin.
The imaging sytems that are offered under this umbrella are:
- microPET/CT: NanoScan PET123S/CT1512 (Mediso)
- microSPECT/CT: VECTor4/CT (MILab B.V.)
- Bioluminescence/fluorescence imaging system: IVIS 50 and IVIS 100 (Revity)
- Digital autoradiography: iQID (QScint)
- Automatic gamma counter: HIDEX AMG (Hidex)
In addition, for most small animal imaging applications, we work closely with the Cancer Center's Preclinical Therapeutics Core.
All SPECT/PET/CT/Optical/MRI imaging procedures can be performed as IACUC/LARC Standard Procedures Imaging with SPECT/PET/CT in Mice and Rats, Optical Imaging in Mice and Rats, and MR Imaging (small animals). UCSF RIO has a direct link (a button to check) to these imaging SOPs while creating a new/revised IACUC protocol.
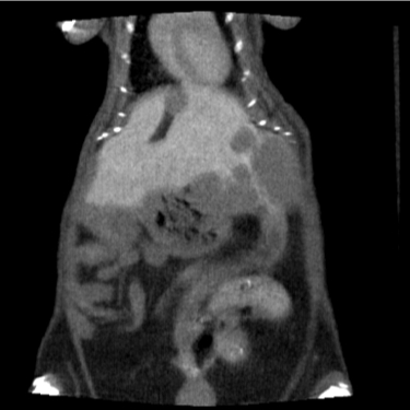
Sample microPET/CT image (124I-MIBG in a mouse model of neuroblastoma)
|
|
Sample microSPECT/CT movie (99mTc-HMPAO SPECT overlaid on CT)
|
|
Sample microCT images (vasculature of a mouse brain, partially filled with barium sulfate - 11 micron pixel size; liver tumor visualized with IV iodinated contrast agent)
|
|


