Sarah J. Nelson Lab
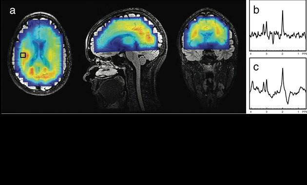
A metabolite map and sample spectra (long-echo and short-echo) from a healthy volunteer, acquired using automatically-prescribed slice-selected 3D MRSI. The acquisition covered most of the brain volume, while maintaining the high quality of spectral data.
A 3D magnetic-resonance spectroscopic imaging (MRSI) dataset, acquired from a patient with multi-focal brain tumor using automatically-prescribed saturation bands (orange, a, b). Metabolite maps (c) and spectral arrays (d,e) show increased coverage of the brain volume. Sample spectra from central and peripheral brain are shown in (f,g). Extended coverage allowed to cover both tumors in one acquisition, which was not possible before.
A diagram for 3D MRSI pulse sequence, developed for use in a protocol with automatic prescription. The dualband outer-volume suppression (OVS) radio-frequency pulses were designed to create two parallel saturation bands with a single RF pulse to reduce the power, emitted into the head and improve data quality.
Automatically prescribed saturation bands (purple) for a 3D magnetic-resonance spectroscopic imaging (MRSI) dataset, covering the lipid layer around the skull (white). Saturation bands suppress the signal from the lipid that would otherwise obscure the signals of the brain metabolites. The automatic prescription software used MR images to optimize sat band placement for the particular patient.
The automatic slice-selected 3D MRSI can cover almost the whole brain volume, by placing the saturation bands to precisely approximate the shape of the skull, while leaving as much as possible of the brain tissue inside the volume unsuppressed. The lines with the same pattern represent parallel sat bands that are created with a single RF pulse.
The Sarah J. Nelson Lab is focused on the development of techniques for acquisition, reconstruction, and quantitative analysis of Magnetic Resonance (MR) imaging and spectral data with the goal of improving the sensitivity and specificity of the data obtained for characterizing human disease, selecting therapy, and monitoring novel treatment paradigms. There are several different approaches to expanding the capabilities of MR. These include increasing the strength of the main magnetic field, improving the gradient and rf hardware capabilities, injecting hyperpolarized C13 labeled agents that dramatically increase the magnitude of the signals obtained from the resulting metabolic processes, and by integrating different types of anatomic, physiological, and metabolic imaging information. All four of these approaches are being pursued as part of the collaborative research in the Surbeck Laboratory for Advanced Imaging and provide number of challenges in terms of the design and optimization of hardware and software components.
As the overall objective is to contribute to the understanding of normal physiology and elucidating the underlying biological mechanisms of disease progression, understanding the biological basis of different diseases and issues that are important for the management of individual patients are critical factors to be considered. Translating these needs into bioengineering problems involves the integration of the underlying principles of MR physics with the design of new algorithms for reconstruction, post-processing and quantitative interpretation of the resulting multi-dimensional and multi-faceted imaging data. The students and fellows in our research group come from a wide variety of different backgrounds with expertise in mathematics, physics, computer analysis, biology, and chemistry. The focus for their research falls into two categories: technological development and translation into patient studies.
Software
SIVIC - Spectroscopic Imaging, VIsualization and Computing
SIVIC is an open-source standards-based software framework and application suite for processing and visualization of DICOM MR Spectroscopy data.
Funding: Partial funding for SIVIC was provided by NIH P01 CA118816 and NIH RO1CA127612
Image Reconstruction
Spectral Reconstruction
Spectral Quantification
Perfusion Weighted Imaging
DCE Imaging
Phase Imaging
Susceptibility Weighted Imaging
Diffusion Weighted Imaging
Shimming
Image Intensity Corrections
Reconstruction Algorithms
Segmentation
MRS Simulations
RT Treatment Plan Analysis
Hyperpolarized C-13 Data Analysis
Image Display
MRSI Display
Grants
Imaging and Tissue Biomarkers for Improved Management of Patients with Newly Diagnosed GBM
NIH RO1 CA127612 (PI: Nelson ) 6/01/12 - 5/31/14 NIH
The objective of this proposal is to utilize advanced MR imaging techniques to assist in the clinical management of patients with newly diagnosed glioblastoma multiforme (GBM).
Response to Therapy for Patients with Glioma Using Hyperpolarized C-13 Pyruvate
NIH 1R21CA170148-01 (PI: Nelson) 07/23/2012 - 06/30/2014
The goal is to perform an early phase clinical trial that will demonstrate the application of hyperpolarized C-13 MR metabolic imaging as a new and unique tool for detecting early response to therapy in patients with Glioblastoma (GBM).
Preparing for Human Studies using the SpinLab Polarizer
Investigator-Sponsored Research (PIs: Nelson, Vigneron, Ferrone) 07/01/2012 - 06/30/2014 GE Healthcare
The goal of this collaborative research project is to establish the procedures necessary to prepare hyperpolarized agents for such studies and to obtain data that will provide the basis for obtaining approvals to perform new clinical trials.
Ultra high field MR for Patients with Neurological and Musculoskeletal Disease: Phase II Improved imaging and contrast mechanisms using the MR950 platform
Investigator Initiated Research (PI: Nelson) 02/01/2013 - 01/30/2015 GE Healthcare
The goal of this project is to obtain MR imaging data from patients using the 7T whole body scanner in the Surbeck Laboratory. The subjects will include individuals for whom the assessment of disease severity and treatment response have been challenging using conventional imaging methods. Population that have been identified as being of interest are patients with psychiatric diseases, Multiple Sclerosis, radiation injury or osteoarthritis.
Hyperpolarized MRI Technology Resource Center
NIH/NBIB P41EB013598 (PI: Vigneron) 08/01/2011 - 07/31/2016
With the increasing interest and number of DNP polarizers, we feel it is timely and beneficial to this emerging field to establish a Hyperpolarized MRI Technology Resource Center to develop, investigate and disseminate new hyperpolarized MR techniques, new 13C agents and specialized analysis open-source software for data reconstruction and interpretation. The Technology Research & Development projects will leverage the extensive DNP facilities and experience of the project leaders to develop improved, robust hyperpolarized MRI methods. These technology developments will be driven by Collaborative Projects led by outstanding clinical and basic scientists who aim to use hyperpolarized carbon-13 MRI to accomplish the scientific goals of their funded research. These technical developments will also be disseminated to the Service Project investigators for extramural feedback and then widely to the scientific community via a dedicated website and onsite training. This center will provide state-of-the art training in this new metabolic imaging field and sponsor a yearly symposium focused on hyperpolarized MR technology development.
Open-Source Tools for Processing Hyperpolarized MR Data
Project 3 (PI: Nelson)
The goal of this TR&D project is to develop novel, open-source, DICOM compliant, cross-platform software tools for reconstruction, quantification and visualization of hyperpolarized MR data as driven by the needs of the Collaborative Projects. There are currently no other packages available for analysis of the results obtained using the fast imaging and spectroscopy pulse sequences associated with this new in vivo technology. This address a pressing need because the multi-dimensional data produced following injection of pre-polarized imaging probes provide dramatic improvements in sensitivity over conventional methods and unique information about metabolic processes within living systems.
MR Metabolic Imaging of Response to Targeted Therapies in GBM
NIH/NCI 1R01CA154915 (PIs: Nelson, Ronen) 09/08/2011 - 06/30/2016
The main goal of this study is to develop and mechanistically validate MR-detectable metabolic biomarkers in order to evaluate the molecular response of glioblastoma multiforme (GBM) to novel therapies that target oncogenic signaling pathways, which are activated within such lesions.
Translation and Evaluation of a Multiparametric Prostate Cancer 3T MRI Exam
NIH R01CA137207 (PIs: Kurhanewicz, Vigneron, Hurd) 08/09/2010 - 06/30/2015
The goal of this collaborative research with GE Healthcare is to translate and validate a new 3 Tesla multiparametric imaging exam for improved prostate cancer patient-specific treatment planning and early assessment of therapeutic response.
Role: Co-Investigator
Imaging and Tissue Biomarkers in Patients with Newly Diagnosed GBM
NIH 5R01CA127612-05 (PI: Nelson) 04/28/2008 - 01/31/2014
The objective is to integrate metabolic and physiologic MR imaging data into the clinical management of patients with newly diagnosed GBM who are being treated with a combination of radiation, temozolamide and anti-angiogenic therapies. The project has developed improved metabolic imaging methods for serial evaluation of response to therapy and is providing data from patients being treated with bevacizumab that are of interest for comparing with the results from Project 1 of the P01.
Imaging and Tissue Biomarkers in the Treatment of Brain Tumors
NIH P01CA118816-05 (PI: Berger) 07/01/2007 - 06/30/2013
The overall goal is to integrate advances in technological development of physiologic neuro-imaging and tissue biomarkeers in the management of patients with brain tumors and to translate this knowledge to optimize delivery of novel agents into the brain parenchyma.
Imaging and Tissue Biomarkers for Patients with Newly Diagnosed GBM
Project 1 (PI: Nelson)
Project 1 evaluates areas where metabolic and physiologic imaging methods may be used to optimize treatment with focal therapies.
Imaging and Tissue Correlate Core
Core B (PI: Nelson)
The Imaging and Tissue Correlate Core will provide services to all projects to centralize efficient and integrated management of this PPG.
Brain Tumor SPORE Grant
NIH P50 CA097257 (PI: Berger) 05/01/2007 - 04/30/2013
This continuation SPORE proposal includes 5 translational research projects and 4 Cores - Administrative Core, Biostatistics and Clinical Core, Tissue Core and a Pre-Clinical Animal Core - and represents the efforts of interdisciplinary teams of investigators from the Neuro-Oncology Program of the UCSF Cancer Center to apply their knowledge and expertise to translational research focused on brain tumors.
Prognostic value of magnetic resonance spectroscopic imaging parameters for patients with glioma
Project 2 (PI: Nelson)
Project 2 goals are to determine whether the quantitative parameters derived from metabolic and physiologic imaging characteristics are predictive of the biologic behavior of recurrent low grade gliomas and can be used to aid in determining treatment therapy.
Publications
- Oh J, Han ET, Lee MC, Nelson SJ, Pelletier D. Multislice brain myelin water fractions at 3T in multiplesclerosis. J Neuroimaging. Apr;17(2):156-63, 2007.
- McKnight TR, Lamborn KR, Love TD, Berger MS, Chang S, Dillon WP, Bollen A, Nelson SJ. Correlation of magneticresonance spectroscopic and growth characteristics within Grades II and III gliomas. J Neurosurg. Apr;106(4):660-6, 2007. (pdf)
- Chen AP, Cunningham CH, Ozturk-Isik E, Xu D, Hurd RE, Kelley DA, Pauly JM, Kurhanewicz J, Nelson SJ, Vigneron DB. High-speed 3T MR spectroscopic imaging of prostate with flybackecho-planar encoding. J Magn ResonImaging. Jun;25(6):1288-92, 2007. (pdf)
- Ratiney H, Noworolski SM, Sdika M, Srinivasan R, Henry RG, Nelson SJ, Pelletier D. Estimation ofmetabolite T1 relaxation times using tissue specific analysis, signal averagingand bootstrapping from magnetic resonance spectroscopic imagingdata. MAGMA.Jun;20(3):143-55, 2007. (pdf)
- Cha S, Lupo JM, Chen MH, Lamborn KR, McDermott MW, Berger MS, Nelson SJ, Dillon WP. Differentiation ofglioblastoma multiforme and single brain metastasis by peak height andpercentage of signal intensity recovery derived from dynamicsusceptibility-weighted contrast-enhanced perfusion MR imaging. AJNR Am JNeuroradiol. Jun;28(6):1078-84, 2007. (pdf)
- Osorio JA, Ozturk-Isik E, Xu D, Cha S, Chang S, Berger MS, Vigneron DB, Nelson SJ. 3D MRSI of Brain Tumorsat 3 Tesla using an 8 Channel Phased Array Head Coil. Submitted to JMagn Reson Imaging. Jul;26(1):23-30,2007. (pdf)
- Kohler SJ, Yen Y, Wolber J, Chen AP, Albers MJ, Bok R, Zhang V, Tropp J, Nelson S, Vigneron DB, Kurhanewicz J, Hurd RE. In vivo 13 carbonmetabolic imaging at 3T with hyperpolarized 13C-1-pyruvate. Magn Reson Med. Jul;58(1):65-9, 2007. (pdf)
- Cunningham CH, Chen AP, Albers MJ, Kurhanewicz J, Hurd RE, Yen YF, Pauly JM, Nelson SJ, Vigneron DB. Double spin-echosequence for rapid spectroscopic imaging of hyperpolarized 13C. J Magn Reson. Aug;187(2):357-62, 2007. (pdf)
- Lupo JM, Cha S, Chang SM, Nelson SJ. Analysis of metabolic indices in regions of abnormal perfusion in patientswith high-grade glioma. AJNR Am JNeuroradiol. Sep;28(8):1455-61, 2007. (pdf)
- Park I, Tamai G, Lee MC, Chuang CF, Chang SM, Berger MS, Nelson SJ, Pirzkall A. Patterns of RecurrenceAnalysis in newly diagnosed GBM following 3D Conformal Radiation Therapy withrespect to Pre-RT MR Spectroscopic Findings. Int J RadiatOncol Biol Phys. Oct 1;69(2):381-9. 2007. (pdf)
- Chen AP, Albers MJ, Cunningham CH, Kohler SJ, Yen YF, Hurd RE, Tropp J, Bok R, Pauly JM, Nelson SJ, Kurhanewicz J, Vigneron DB. Hyperpolarized C-13 spectroscopicimaging of the TRAMP mouse at 3T-Initial experience. Magn Reson Med. Oct29;58(6):1099-1106, 2007. (pdf)
- Chuang CF, Chan AA, Larson D, Verhey LJ, McDermott M, Nelson SJ, Pirzkall A. Potential value of MR spectroscopicimaging for the radiosurgical management of patients with recurrent high-gradegliomas. Technol Cancer Res Treat.Oct;6(5):375-82, 2007. (pdf)
- Li Y, Chen A, Crane J, Chang S, Vigneron D, Nelson SJ. Three-dimensional J-resolved H-1 magnetic resonance spectroscopic imaging ofvolunteers and patients with brain tumors at 3T. Magn Reson Med, Nov;58(5):886-92, 2007. (pdf)
- Hammond KE, Lupo JM, Xu D, Metcalf M, Kelley DA, Pelletier D, Chang SM, Mukherjee P, Vigneron DB, Nelson SJ. Development of a robust method for generating 7.0 Tmultichannel phase images of the brain with application to normal volunteersand patients with neurological diseases. Neuroimage. Feb;15;39(4):1682-92,2008. (pdf)
- Kurhanewicz J, Bok R, Nelson SJ, Vigneron DB. Current and potential applications ofclinical 13C MR spectroscopy. J Nucl Med. Mar;49(3):341-4, 2008.(pdf)
- Khayal IS, Crawford FW, Saraswathy S, Lamborn KR, Chang SM, Cha S, McKnight TR, Nelson SJ. Relationship between choline and apparent diffusion coefficient in patientswith gliomas. J Magn Reson Imaging. April;27(4):718-25, 2008. (pdf)
- Lee MC, Nelson SJ. Supervised pattern recognition for the prediction ofcontrast-enhancement appearance in brain tumors from multivariate magneticresonance imaging and spectroscopy.Artif Intell Med. May;43(1):61-74, 2008. (pdf)
- Hu S, Lustig M, Chen AP, Crane J, Kerr A, Kelley DA, Hurd R, Kurhanewicz J, Nelson SJ, Pauly JM, Vigneron DB. Compressed sensing for resolution enhancement ofhyperpolarized 13C flyback 3D-MRSI. J Magn Reson. Jun;192(2):258-64, 2008. (pdf)
- Cunningham CH, Chen AP, Lustig M, Lupo J, Xu D, Kurhanewicz J, Hurd RE, Pauly JM, Nelson SJ, Vigneron DB. Pulse sequencefor dynamic volumetric imaging of hyperpolarized metabolic products. J Magn Reson. Jul;193(1):139-46, 2008. (pdf)
- Chen AP, Kurhanewicz J, Bok R, Xu D, Joun D, Zhang V, Nelson SJ, Hurd RE, Vigneron DB. Feasibility of using hyperpolarized [1-13C]lactate as a substrate for invivo metabolic 13C MRSI studies. Magn Reson Imaging. Jul;26(6):721-6. 2008. (pdf)
- Li Y, Srinivasan R, Ratiney H, Lu Y, Chang SM, Nelson SJ. Comparison of T(1) andT(2) metabolite relaxation times in glioma and normal brain at 3T. J Magn ResonImaging. Aug;28(2):342-50, 2008. (pdf)
- Lupo JM, Banerjee S, Hammond KE, Kelley DA, Xu D, Chang SM, Vigneron DB, Majumdar S, Nelson SJ. GRAPPA-based susceptibility-weighted imaging of normal volunteersand patients with brain tumor at 7 T. Magn Reson Imaging. Epub Sept 2008. (pdf)
- Tessem MB, Swanson MG, Keshari KR, Albers MJ, Joun D, Tabatabai ZL, Simko JP, Shinohara K, Nelson SJ, Vigneron DB, Gribbestad IS, Kurhanewicz J. Evaluationof lactate and alanine as metabolic biomarkers of prostate cancer using 1HHR-MAS spectroscopy of biopsy tissues. Magn Reson Med. Sept;60(3):510-6, 2008. (pdf)
- Albers MJ, Bok R, Chen AP, Cunningham CH, Zierhut ML, Zhang VY, Kohler SJ, Tropp J, Hurd RE, Yen YF, Nelson SJ, Vigneron DB, Kurhanewicz J. Hyperpolarized 13Clactate, pyruvate, and alanine: noninvasive biomarkers for prostate cancerdetection and grading. Cancer Res. Oct;15;68(20):8607-15, 2008. (pdf)
- Xu D, Cunningham CH, Chen AP, Li Y, Kelley DA, Mukherjee P, Pauly JM, Nelson SJ, Vigneron DB. Phased array 3D MR spectroscopic imaging of the brain at 7 T. MagnReson Imaging. Nov;26(9):1201-6, 2008. (pdf)
- Hammond KE, Metcalf M, Carvajal L, Okuda DT, Srinivasan R, Vigneron D, Nelson SJ,Pelletier D. Quantitative in vivo magnetic resonance imaging of multiplesclerosis at 7 Tesla with sensitivity to iron. Ann Neurol. Dec;64(6):707-13.2008. (pdf)
- Khayal IS, McKnight TR, McGue C, Vandenberg S, Lamborn KR, Chang SM, Cha S, Nelson SJ. Apparent diffusion coefficient and fractional anisotropy of newly diagnosedgrade II gliomas. NMR Biomed. Jan 5. 2009. (pdf)
- Saraswathy S, Crawford FW, Lamborn KR, Pirzkall A, Chang S, Cha S, Nelson SJ. Evaluation of MR markers that predict survival in patients with newly diagnosed GBM priorto adjuvant therapy. J Neurooncol. Jan;91(1):69-81, 2009. (pdf)
- Okuda DT, Srinivasan R, Oksenberg JR, Goodin DS, Baranzini SE, Beheshtian A, Waubant E, Zamvil SS, Leppert D, Qualley P, Lincoln R, Gomez R, Caillier S, George M, Wang J, Nelson SJ, Cree BA, Hauser SL, Pelletier D. Genotype-Phenotype correlations in multiple sclerosis: HLAgenes influence disease severity inferred by 1HMR spectroscopy and MRImeasures. Brain. Jan;132(Pt1):250-9, 2009. (pdf)
- Metcalf M, Xu D, Okuda DT, Carvajal L, Srinivasan R, Kelley DA, Mukherjee P, Nelson SJ, Vigneron DB, Pelletier D. High-Resolution Phased-Array MRI of the Human Brainat 7 Tesla: Initial Experience in Multiple Sclerosis Patients. J Neuroimaging.Jan 29 2009. [Epub ahead of print]
- Crawford FW, Khayal IS, McGue C, Saraswathy S, Pirzkall A, Cha S, Lamborn KR, Chang SM, Berger MS, Nelson SJ. Relationship of pre-surgery metabolic and physiologicalMR imaging parameters to survival for patients with untreated GBM. JNeurooncol. Feb;91(3):337-51, 2009. (pdf)
- Pirzkall A, McGue C, Saraswathy S, Cha S, Liu R, Vandenberg S, Lamborn KR, Berger MS, Chang SM, Nelson SJ. Tumor regrowth between surgery and initiation of adjuvanttherapy in patients with newly diagnosed glioblastoma. Neuro Oncol. Feb 192009. [Epub ahead of print]
- Osorio JA, Xu D, Cunningham CH, Chen A, Kerr AB, Pauly JM, Vigneron DB, Nelson SJ. Design of cosine modulated very selective suppression pulses for MRspectroscopic imaging at 3T. Magn Reson Med. Mar;61(3):533-40, 2009. (pdf)
Opportunities
Internship
Internships typically occur during the summer months, and provide opportunities for people at all levels of training (i.e. undergraduate, graduate, resident, post-doctoral).
Rotations
Rotations provide an opportunity to explore research opportunities in the Nelson Lab that can lead to a commitment of several years to develop and complete dissertation research in conjunction with enrollment in a Graduate Program or Professional School, such as the following:
People
Jason Crane, PhD
Director of Informatics and Software
[email protected]
Jason is responsible for the design and development of software systems for data analysis and management for the Nelson Lab. He earned a BA Chemistry from Brandeis University, and a PhD Chemistry from the University of California Berkeley. He is focused on development of the open-source SIVIC software package for analysis and visualization of MR spectroscopy data.
Yan Li, PhD
Assistant Researcher
[email protected]
Yan is developing and implementing an optimal acquisition parameters and quantification methods for Magnetic Resonance Spectroscopic Imaging (MRSI) at 7 Tesla in patients with gliomas. She earned a Bachelor of Medicine from Shanghai Second Medical University, Shanghai, China; MSc, Biochemistry from McGill University, QC, Canada; and PhD, Bioengineering, UCSF/UC Berkeley Joint Graduate Group in Bioengineering, San Francisco, CA.

Beck Olson
Programmer Analyst IV
[email protected]
Beck helps to maintain the lab's software base and to develop new software for processing, analysis, visualization, and management of imaging data. He has a BS Physics with Specialization in Computational Physics. His lab projects include SIVIC: An Extensible Open-Source DICOM MR Spectroscopy Software Framework and Application Suite. (sivic.sourceforge.net), as well as Cerebro: The Nelson Lab's Research Database.

Ilwoo Park
Postdoctoral Scholar
[email protected]
Ilwoo is responsible for maintaining and managing animal-related protocols and studies, processing and analyzing 13C clinical data, and mentoring undergraduate and graduate students. He earned a Bioengineering degree from UC Berkeley, and UC San Francisco/UC Berkeley Joint Graduate Group in Bioengineering. Hi project includes development of an early biomarkers for MGMT activity and response to Temozolomide treatment using DNP-Hyperpolarized 13C MR Spectroscopic Imaging.
Related Content
- Research Directory
- Abdominal and Pelvic MRI
- Arthritis Imaging Lab (Li Lab)
- Baby Brain Research Group
- Biomagnetic Imaging Laboratory
- Biomechanics & Musculoskeletal Imaging Lab
- Bone Quality Research Lab
- BrainChange Study
- Breast Imaging Research Group
- Breast and Bone Density Group
- Cardiothoracic Imaging Imaging Research
- Center for Molecular and Functional Imaging (CMFI)
- Contrast Material and CT Translational Research Lab
- Evans Lab
- Focused Ultrasound Lab
- High Field MRI Center
- Imaging Research for Neurodevelopment
- Interventional Radiology Research Lab
- Larson Group
- Lupo Lab
- Multimodal Metabolic Brain Imaging
- Musculoskeletal Quantitative Imaging Research
- Neural Connectivity Lab
- Osteoid Osteomas HIFU Clinical Trial
- PET/SPECT Radiochemistry
- PSMA PET Scan
- Physics Research Laboratory
- Program for Molecular Imaging and Targeted Therapy
- Prostate Cancer Imaging Lab (Kurhanewicz)
- Quantitative Biomarkers & AI in MSK Imaging
- Research
- Sarah J. Nelson Lab
- Surbeck Laboratory
- Translational Metabolic Imaging Lab
- Vascular Imaging Research Center
- Viswanath Lab
- Wilson Lab
- Imaging Research Symposium
- Research Conference
- UCSF Radiology at RSNA
- Core Services
Nelson Lab Contact

Byers Hall 1700 4th Street
Room 303, MC 2532
San Francisco, CA 94158-2330
