Collaborative Work Develops a Variable Resolution Approach for Improved HP 13-C MRI Acquisition
Hyperpolarized carbon-13 metabolic MRI (HP 13-C MRI) is a relatively new type of imaging study which offers novel metabolic information and contrast, unlike conventional MRI which provides primarily anatomical information. Such features are particularly promising for cancer imaging applications such as disease staging, surgical planning, and monitoring response to therapy, because it highlights functional changes in cellular activity. Overall, HP 13-C MRI requires specialized methods because, unlike conventional MRI, the signal decays rapidly and is unrecoverable.
The Hyperpolarized MRI Technology Resource Center (HMTRC) at UCSF, directed by Daniel B Vigneron, PhD, was created to collaboratively develop new technology to improve and advance this field. In addition, a research group led by Peder Larson, PhD is working to develop new, rapid and efficient hyperpolarized MRI methods by taking an engineering-driven approach.

Recently, a team of scientists from UCSF Radiology, the UC Berkeley-UCSF Graduate Program in Bioengineering and the UCSF Department of Medicine Division of Cardiology came together to work to improve tradeoffs between a fixed spatial resolution and signal-to-noise ratio (SNR) for hyperpolarized 13 C MRI. Their findings were recently published in Magnetic Resonance in Medicine, the journal of the International Society for Magnetic Resonance in Medicine (ISMRM).
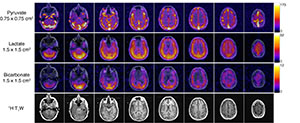
“We now acquire hyperpolarized metabolic MRI using varying resolutions between substrate (pyruvate, high signal) versus metabolic product (lactate/bicarb, limited),” says Dr. Larson. This enables visualization of smaller features that would otherwise be missed at coarser resolutions. Overall, this technique shows promise to improve future studies by maximizing metabolite SNR while minimizing partial-volume effects from the injected substrate.
Lead author on this study was Jeremy Gordon, PhD who joined the faculty at UCSF Radiology at the start of the 2020-21 academic year. Dr. Gordon brought his graduate work on advanced hyperpolarized carbon-13 methods to UCSF and is now an assistant professor working closely with the Larson Group and the HMTRC.
Faculty from UCSF Radiology who worked on this study include Dr. Vigneron, Dr. Larson, Robert Bok, MD, PhD, Duan Xu, PhD, Yan Li, PhD, Michael Ohliger, MD, PhD and Javier Villanueva-Meyer, MD. Graduate student authors from the UC Berkeley-UCSF Graduate Program include Xucheng Zhu, Shuyu Tang and Jasmine Graham. Additional authors are Adam Autry, PhD (postdoctoral scholar) and Roselle Abraham, MD (UCSF Cardiology).