Quantitative Computed Tomography (QCT)

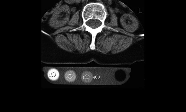
Pioneered at UCSF, quantitative computed tomography (QCT) is a test to measure bone mineral density (BMD). It is performed using a computed tomography (CT) scanner and results in a 3D image. Hip and lumbar spine are the most common choices for evaluation with QCT.

QCT is recommended for:

  • Those at risk of osteopenia (low bone mass)
  • People who are being treated for osteoporosis and need to be monitored
  • Those receiving, or who will receive, steroid therapy
  • People with hyperparathyroidism
  • Those with vertebral abnormalities
  • People who are either small or tall
  • Patients with large body habitus
  • Those that have degenerative spine disease – in particular men

Contraindications:

  • Anyone who recently had a test that involved barium, iodine, or other contrast materials
  • Women who are or may be pregnant

What are the advantages of QCT?

Many people who cannot undergo DXA testing for various reasons can safely have a QCT scan. QCT scans are safe and offer reliable BMD measurements for patients who have:

  • Arthritis
  • Scoliosis
  • Disc space narrowing
  • Spinal degenerative diseases
  • Aortic calcification
  • Osteophytes
  • Obesity

QCT protocols are within the low-dose range, comparable to that of mammograms.

Advantages of QCT at UCSF

  • Rigorous protocols ensure safety
  • Results read by world-class physicians who are subspecialty experts
  • High-quality, advanced equipment and techniques

Who performs QCT at UCSF?

Professor, & Division Chief, Musculoskeletal Radiology
Director, T32 Program
Clinical Director of MQIR
Co-Director, Clinical & Translational Musculoskeletal Imaging
Professor in Residence
Professor In Residence
Associate Chair, Wellbeing and Professional Climate
Professor In Residence
Associate Professor
Director of Musculoskeletal Ultrasound
Asst. Prof of Clin Radiology
Professor Emeritus
Prof of Clinical Radiology
Associate Professor
Orthopaedic Surgery
Associate Clinical Professor

Related Content