Musculoskeletal Radiology
The Musculoskeletal Radiology division brings significant depth of expertise to the treatment of diseases or injuries of the joints, bones, muscles and spine in both adult and pediatric imaging. The Musculoskeletal Radiology division of the UCSF Department of Radiology and Biomedical Imaging is one of the leading divisions for Musculoskeletal Radiology in the United States.
Musculoskeletal problems can be the result of various circumstances, ranging from work accidents and sports injuries to genetics and lifestyle choices. Some of these problems include osteoarthritis of the knee, osteoporosis of the bones, and many other joint or muscle issues. To help lead patients toward an effective recovery, the Musculoskeletal Radiology division at UCSF provides imaging and treatment for injuries relating to sport and occupational injuries, hereditary dispositions, tumors and arthritis of the bones and other joints.
Why choose Musculoskeletal Radiology at UCSF
- Comprehensive services for diseases or injuries of the joints, bones, muscles and spine
- Worldwide leader in imaging joint disorders and cartilage
- Imaging with lowest levels of radiation
- Minimally invasive treatment for joint pain and inflammation as well as bone and soft tissue tumors
- Expertise in sports medicine, rheumatology, orthopaedic oncology as well as radiology
Who we serve
- Adult and pediatric patients
- People suffering from knee, hip or back pain
- Patients suffering from occupational and sports injuries
- People suffering from arthritis of the bones and other joints
- People with joint disorders (including hip pain)
- People with spine, bone and soft tissue disorders
- People with rheumatological diseases
- People suffering from pain with joint replacements and metal implants
- Hereditary dispositions
- Patients with bone marrow cancers and other tumors
Conditions we address
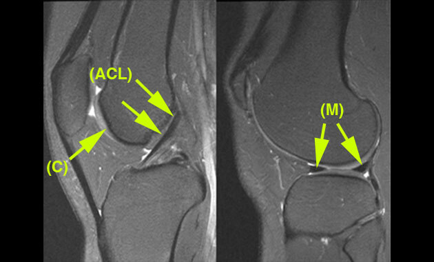
- ACL (Anterior Cruciate Ligament) Tear
- Arthritis of the Shoulder
- Bone and soft tissue tumors
- Hip Labral Tear
- Joint injections/lubrications
- Joint replacement
- LCL (Lateral Collateral Ligament) Tear
- MCL (Medial Collateral Ligament) Tear
- MR arthrography
- Osteoarthritis of the Hand and Fingers
- Osteoarthritis of the Hip
- Osteoarthritis of the Knee
- Osteoporosis
- Osteoarthritis of the Hand and Fingers
- Osteoarthritis of the Hip
- Osteoarthritis of the Knee
- PCL (Posterior Cruciate Ligament) Tear
- Rheumatologic disorders
- Rotator Cuff Tear
- Spine disorders
- Sports hernia
- Sports injuries
- Tennis Elbow
Musculoskeletal Radiology Services
- High Field High Resolution, MRI operating at 3 Tesla
- Latest generation 3T MRI scanner for joint imaging
- MR Arthrography
- 64 Slice CT Scanners
- Newly Developed MRI Techniques
- Novel Metal Suppression Techniques
- Whole Body MRI and PET/CT Imaging
- MR Technologies to Suppress Motion
- CT-Guided Bone and Soft Tissue Biopsies
- Radiofrequency Ablation for Osteoid Osteomas
- Interventional procedures for bone tumors
- Joint Injections for Osteoarthritis Pain Treatment
- MR-Guided Focused Ultrasound to Treat Bone Metastases
- Bone Mineral Density Measurements Using DXA (Dual Energy X-ray Absorptiometry)
- CT bone densitometry
- Tomosynthesis
- Musculoskeletal Ultrasound Services
- T2 and T1rho relaxation time to analyze cartilage quality
- Cartilage Imaging
UCSF Orthopaedic Institute Imaging Center
The UCSF Orthopaedic Institute Imaging Center at Mission Bay is designed to serve patients who need specialty care in joint replacement, sports and dance medicine as well as performance diagnostics, rehabilitation, prosthetics and orthotics. The Orthopaedic Institute provides services for referring doctors and patients including orthopaedic imaging studies, diagnosis, treatment, interventions, and outpatient surgeries.
The Orthopaedic Institute allows experienced sports medicine and orthopaedic physicians, therapists and radiologists, who are experts in musculoskeletal and orthopaedic imaging, to serve patient needs and physician consultations in an integrated fashion, under one roof. Make an appointment at (415) 353-2573.
Who we partner with
- Patients and their families
- Researchers from our own and other institutions
- Donors and other visionaries committed to improving the lives of others
- Referring colleagues, rheumatologists, orthopaedic surgeons, radiation oncologists, primary care, and internal medicine physicians
Who we are
- Faculty members
- Musculoskeletal Radiology Fellows
- Postdoctoral fellows
- Research staff
- Medical and graduate students

