UCSF’s ultrasound subspecialty provides the Bay Area’s most advanced and multidisciplinary ultrasound services. We offer, for example, the integrated services available for fetal therapy and UCSF’s outstanding ultrasound disease diagnosis, and the highest levels of real-time ultrasound imaging accuracy for transplant surgery.
Some of the more common procedures performed by the ultrasound radiologists at UCSF include:
Prenatal and Obstetrical Ultrasound Studies (Sonograms)
- To confirm pregnancy
- To determine viability of the baby
- To learn gestational age and gender
- To identify normal and abnormal development
- To diagnose various obstetrical and fetal conditions
- To identify multiple births
At UCSF
- Sonograms are used during the first, second and third trimesters of pregnancy.
- Advanced equipment is able show your unborn baby in amazing detail (smiling, yawning, stretching, turning ) and we are able to check that development and pregnancy are going well.

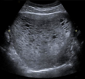
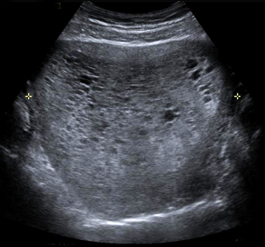
Two images of Multicystic Dysplastic Kidney (MCDK).
Doppler Ultrasound
To evaluate blood flow to the pelvic organs or other body parts.
Abdominal Ultrasound
- To look for causes of pain in the abdominal area, including potential gallstones (ultrasound for cholecystitis or inflammation of the gall bladder), pancreatitis, kidney stones or blockage in blood vessels of the intestines, appendicitis, inflammation of the small and large intestines, and hernias.
- To look for masses or enlargements in the spleen or liver in the abdominal organs or to evaluate a mass that may have been felt by a doctor or seen by another radiologic imaging test.
- To assess enlargement of the liver or spleen.
- To diagnose the cause of kidney failure, such as kidney disease, obstruction of the kidneys or blockage of the kidneys' blood vessels.
- To evaluate the source of jaundice or abnormal liver enzymes.
- To look for enlargements (aneurysms) of the abdominal aorta.
- To diagnose problems with blood flow in the vessels in the abdominal organs.
Gynecology/Pelvic Ultrasound
- To visualize the uterus and ovaries.
- To explain findings from the manual exam or provide additional information.
- To diagnose pelvic pain, abnormal vaginal bleeding and suspicion of an abnormality based upon on a manual gynecologic examination.

Molar Pregnancy
Scrotal Ultrasound
To look for causes of scrotal pain, including inflammation, testicular torsion (twisted testes) and varicocele (a swelling that causes a dull pain).
- To look for causes of masses felt by the patient or doctor and assess them for testicular cancer, epididymal cysts or tumors.
- To find the cause of scrotal swelling, such as hydrocele (fluid collection), scrotal hernias, scrotal edema (swelling), inflammation or infection.
- To hunt for the causes of infertility, such as potential varicoceles, testicular atrophy or obstruction of the connecting ducts.
- To evaluate the extent of damage caused by trauma to the scrotum.
- To look for the location of undescended testes.
Ultrasound-Guided Thyroid Biopsy
To remove a sample of thyroid tissue for testing in a laboratory. Biopsies can help diagnose abnormalities such as benign and malignant thyroid tumors.
Vascular Ultrasound
- To give doctors information about blood vessels and the way blood is passing through them.
- To evaluate problems within the veins and arteries.
The most common tests include:
- Upper and Lower-Extremity Venous Doppler Ultrasound
Doppler ultrasound evaluation of patients for the presence of deep vein thrombosis (DVT) associated with swelling of the extremities, pulmonary embolism and chronic venous insufficiency (varicose veins). - Hemodialysis Access Evaluation
Doppler ultrasound evaluation of upper-extremity access graft for patients with potential graft failure. - Pseudoaneurysm Evaluation
Doppler ultrasound evaluation of patients following catheterization for possible arterial injury.
Some vascular procedures at UCSF are performed at our vascular lab run by UCSF vascular surgery.
Ultrasound-guided Liver Biopsy
To help diagnose liver abnormalities including hepatitis, inflammation or malignancy.
Ultrasound-Guided Transplantation and Monitoring
- To guide interventional procedures and monitor patients.
- To watch for diseases and complications that can result after transplantation.