Prepare for an US Hysterosonogram Exam
US Hysterosonogram is a comprehensive examination of the uterus, ovaries, and pelvis using ultrasound.


Why Get an US Hysterosonogram Exam?
US Hysterosonogram is used for evaluating the endometrium for abnormalities such as polyps or fibroids. The greatest advantages of this exam include no exposure to ionizing radiation and a dedicated evaluation of the inner lining (endometrium) of the uterus.
What Does an US Hysterosonogram Exam Involve?
The exam has two components:
- Pelvic ultrasound with 3D rendering and dynamic maneuvers
- 3D ultrasound is a special technique that allows evaluation of the shape of the uterus
- Dynamic maneuvers involve applying gentle pressure with the ultrasound transducer to look for pelvic scarring or adhesions
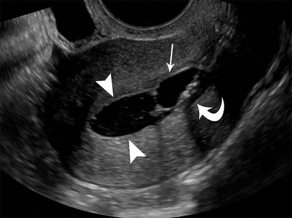
- Saline-infused hysterosonogram: Ultrasound imaging of the uterus after filling the uterine cavity with saline. This allows assessment of the uterine lining.
Patient Safety Tips Prior to an US Hysterosonogram Exam
- This exam should NOT be performed if:
- You think you may be or are pregnant
- You currently have a pelvic infection
- Please leave your valuables at home or in your room in the hospital.
- Please let us know if you need interpreting services, this can be arranged for you.
- Please bring a list of your current medications with you.
Preparation for an US Hysterosonogram Exam
- The exam should take place between 7-11 days after the beginning of your last menstrual period.
- You can eat and drink as per usual the day of the test.
- We recommend you take ibuprofen several hours prior to the test to decrease possible discomfort.
- Please refrain from taking any medications that alleviate anxiety beforehand, with the exception of Tylenol and Advil. This includes any pain or anti-anxiety medications that may have been prescribed to you in preparation for this procedure. Please bring necessary medication with you. There will be an opportunity to take your medications in a timely manner, after you have met with the radiologist to discuss the risks and benefits of the procedure.
- If you have additional questions or concerns or feel anxious about the exam, consider discussing additional premedication options with your referring doctor ahead of time to bring to the appointment.
- If you take an anxiolytic, please arrange for a ride to and from the appointment
- Please arrive 15 minutes before the scheduled exam time.
- You will be asked to change into a hospital gown before the procedure.
- The technologist will verify your identification and appointment.
- There will be an opportunity for you to talk to the radiologist about the plan for the procedure and give your consent.
During the Procedure
- The duration of the procedure will vary, but averages about 45-60 minutes.
- The technologist and radiologist will be available to answer any questions.
- As described above, the exam has multiple parts:
- Standard pelvic ultrasound (please refer to the “Preparing for a pelvic ultrasound” page for more information)
- Saline-infused hysterosonogram
- The technologist will position you on the exam table in the same way you would be positioned for a gynecologic exam with your back on the exam table with knees bent and feet supported on footrests.
- The radiologist will insert a speculum into the vagina, clean the cervix and insert a catheter into the uterus. The speculum is then removed, and an ultrasound transducer (the “camera”) is inserted into the vagina. Saline (sterile water) is infused through the catheter while imaging with ultrasound.
- Insertion of the catheter and/or infusion of saline may cause some discomfort. Some patients describe a sensation comparable to menstrual cramps.
What to Expect After an US Hysterosonogram Exam
- If you are going home, you may resume normal activities.
- You may experience vaginal spotting (bleeding) and pelvic cramps for 1 day after the procedure.
- Tylenol/ibuprofen (or previously tolerated pain control for menstrual cramps) may be taken as indicated after the procedure for pain relief.
- If you experience increased pain, fever, or heavy bleeding after the exam, contact your doctor immediately.
US Hysterosonogram Exam Frequently Asked Questions
Can you eat before an US Hysterosonogram test?
Yes, you can eat and drink as per usual the day of your US Hysterosonogram exam.
Is an US Hysterosonogram exam painful?
Some patients find minimal discomfort whereas others report a feeling like intense menstrual cramps. Any discomfort is usually brief and taking an over-the-counter pain medication before and/or after the procedure can help minimize any discomfort. If necessary, you can also ask the radiologist to terminate the exam at any time.
What are the possible complications of this procedure?
Possible complications include:
Infection: US Hysterosonogram has a 0.95% rate of infection (1)