Prepare for a Hysterosalpingo-Contrast Sonography (HyCoSy) Exam
Hysterosalpingo-Contrast Sonography (HyCoSy) is a comprehensive examination of the uterus, ovaries, fallopian tubes, and pelvis using ultrasound.

Why Get an HyCoSy Exam?
The HyCoSy exam is used in the evaluation of infertility. The greatest advantages of this exam include no exposure to ionizing radiation and a complete evaluation of the described pelvic organs in one setting.
What Does the HyCoSy Exam Involve?
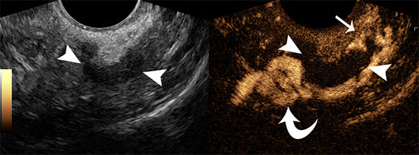
The exam has multiple components:
- Pelvic ultrasound with 3D rendering and dynamic maneuvers
- 3D ultrasound is a special technique that allows evaluation of the shape of the uterus
- Dynamic maneuvers involve applying gentle pressure with the ultrasound transducer to look for pelvic scarring or adhesions
- Saline-infused hysterosonogram: Ultrasound imaging of the uterus after filling the uterine cavity with saline. This allows assessment of the uterine lining.
- Contrast hysterosalpingography: Ultrasound imaging of the uterus and fallopian tubes after filling these structures with contrast material. This allows assessment for tubal obstruction.
Patient Safety Tips Prior to a HyCoSy Exam
- This exam should NOT be performed if:
- You have an allergy or have had an allergic-like reaction to:
- Lumason© contrast agent for ultrasound, or
- Polyethylene glycol (PEG)
- You think you may be or are pregnant
- You currently have a pelvic infection
- You have an allergy or have had an allergic-like reaction to:
- Please leave your valuables at home or in your room in the hospital.
- Please let us know if you need interpreting services, this can be arranged for you.
- Please bring a list of your current medications with you.
Preparation for a HyCoSy Exam
- The exam should take place between 7-11 days after the beginning of your last menstrual period.
- A course of antibiotics may be prescribed prior to the test depending on your referring provider’s recommendations.
- You can eat and drink as per usual the day of the test.
- We recommend you take ibuprofen several hours prior to the test to decrease possible discomfort.
- Please refrain from taking any medications that alleviate anxiety beforehand, with the exception of Tylenol and Advil. This includes any pain or anti-anxiety medications that may have been prescribed to you in preparation for this procedure. Please bring necessary medication with you. There will be an opportunity to take your medications in a timely manner, after you have met with the radiologist to discuss the risks and benefits of the procedure.
- If you have additional questions or concerns or feel anxious about the exam, consider discussing additional premedication options with your referring doctor ahead of time to bring to the appointment.
- If you take an anxiolytic, please arrange for a ride to and from the appointment
- Please arrive 15 minutes before the scheduled exam time.
- You will be asked to change into a hospital gown before the procedure.
- The technologist will verify your identification and appointment.
- There will be an opportunity for you to talk to the radiologist about the plan for the procedure and give your consent.
During the Procedure
- The duration of the procedure will vary, but averages about 45-60 minutes.
- The technologist and radiologist will be available to answer any questions.
- As described above, the exam has multiple parts:
- Standard pelvic ultrasound (please refer to the “Preparing for a pelvic ultrasound” page for more information)
- Saline-infused hysterosonogram and contrast-infused hysterosalpingography
- The technologist will position you on the exam table in the same way you would be positioned for a gynecologic exam with your back on the exam table with knees bent and feet supported on footrests.
- The radiologist will insert a speculum into the vagina, clean the cervix and insert a catheter into the uterus. The speculum is then removed, and an ultrasound transducer (the “camera”) is inserted into the vagina. Saline then contrast material is infused through the catheter while imaging with ultrasound.
- Insertion of the catheter and/or infusion of saline and contrast material may cause some discomfort. Some patients describe a sensation comparable to menstrual cramps.
What to Expect After a HyCoSY Exam
- If you are going home, you may resume normal activities.
- You may experience vaginal spotting (bleeding) and pelvic cramps for 1 day after the procedure.
- Tylenol/ibuprofen (or previously tolerated pain control for menstrual cramps) may be taken as indicated after the procedure for pain relief.
- In some instances, you may be prescribed an antibiotic after the procedure.
- If you experience increased pain, fever, or heavy bleeding after the exam, contact your doctor immediately.
HyCoSY Exam Frequently Asked Questions
Can you eat before a HyCoSy test?
Yes, you can eat and drink as per usual the day of your HyCoSy exam.
Is a HyCoSy exam painful?
Some patients find minimal discomfort whereas others report a feeling like intense menstrual cramps. Any discomfort is usually brief and taking an over-the-counter pain medication before and/or after the procedure can help minimize any discomfort. If necessary, you can also ask the radiologist to terminate the exam at any time.
What are the possible complications of this procedure?
Possible complications include:
- Infection: HyCoSy has a 0-4% rate of infection (1)
- At UCSF, antibiotic prophylaxis is at the discretion of our referring clinicians. Occasionally, observations during an HSG, such as a dilated fallopian tube, may prompt post-procedure antibiotics.
- Extremely rare allergic or allergic-like reaction from contrast
Can a HyCoSy exam open blocked tubes?
The test to evaluate the fallopian tubes was originally established to check for potential blockage. However, the act of introducing contrast into the fallopian tubes may provide a potential therapeutic effect by flushing out debris or mucus that may be limiting free passage of an egg/fertilized egg or sperm.
Can a HyCoSy test make you more fertile?
A potential beneficial effect of HyCoSy on fertility has been described with an increased proportion of patients obtaining spontaneous pregnancy within six months after HyCoSy compared to months further from the time of HyCoSy (2).