AI-Enabled Portable X-Ray Device Shows Promise in the Clinical Environment
The UC San Francisco Department of Radiology and Biomedical Imaging noted a significant milestone for both the department and the UCSF Center for Intelligent Imaging (ci2) - full deployment of an artificial intelligence (AI)-enabled portable x-ray device into our clinical environment.
“This is the first example (with many to come) of AI algorithms developed by UCSF Radiology being used in production at UCSF for clinical care,” says John Mongan, MD, PhD, associate professor and associate chair for translational informatics at UCSF Radiology and director of translational informatics at the ci2.
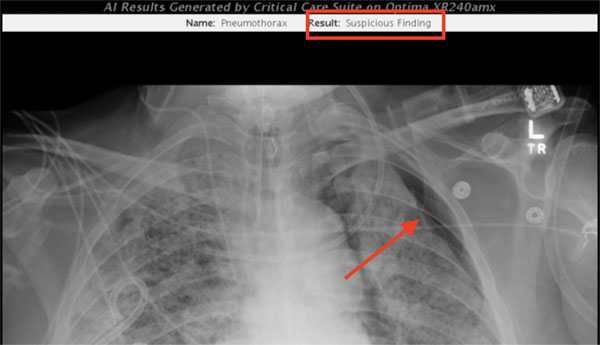
In September 2019, UCSF announced U.S. Food and Drug Administration (FDA) clearance of a new AI algorithm that works with portable X-rays to rapidly screen for collapsed lung (pneumothorax). The technology was developed by GE Healthcare and UCSF researchers including Dr. Mongan and Andrew Taylor, MD, PhD, associate professor of Clinical Radiology and collaborators from the UCSF Center for Digital Health Innovation (CDHI). This meant that it could be used in the clinical environment, and this announcement was lauded as a positive development for patients and providers.
Dr. Mongan shared images (shown below) demonstrating the algorithm identifying a pneumothorax in a recent ICU patient (red annotations were added manually to highlight the findings). Also shown are the results of a separate algorithm measuring the position of the endotracheal tube on the same patient, developed by Valentina Pedoia, PhD, assistant professor and data scientist, Dr. Rachael Callcut, MD associate professor of surgery now at the University of California, Davis, and Sharmila Majumdar, PhD, vice chair of research and executive and scientific director of the ci2, measuring the position of the endotracheal tube on the same patient. Other key participants were radiologist Thienkhai Vu, MD and fellow Rutwik Shah, MD and other investigators from the CDHI. Note, all patient data has been removed.

The department would like to give kudos to all of the innovators who developed these algorithms.
“It is a milestone worth celebrating, and hopefully the first of many as we work together to build out the ecosystem for clinical AI,” says Christopher Hess, MD, PhD, department chair and founding director of the UCSF ci2.
The ci2 was founded in 2019 to accelerate the application of AI to radiology, leveraging advanced computational techniques and industry collaborations to improve patient diagnoses and care. Learn more about active and featured research projects.