A New UCSF Study Reviews the Current Literature on Neuroradiological Findings in SARS-CoV-2 Patients

Neurological symptoms are increasingly recognized as potential manifestations of SARS-CoV-2 infection, even in patients with mild or absent respiratory symptoms. These can range from relatively benign conditions such as the loss of taste and smell, to devastating, life-threatening sequelae of cerebral strokes and hemorrhages.
A new study from investigators at the UC San Francisco Department of Radiology and Biomedical Imaging, published in Academic Radiology, comprehensively reviewed the current literature on neuroradiological findings in SARS-CoV-2 patients to identify latent patterns and trends that could be useful in guiding clinical management of these patients. Because of the relatively small number of large-scale studies on this topic and their over-representation of ICU patients with severe respiratory disease, the authors made a point of including case reports and case series describing patients with mild COVID-19 symptoms in their meta-analysis, allowing them to determine if neurological manifestations differ between severe and mild disease.
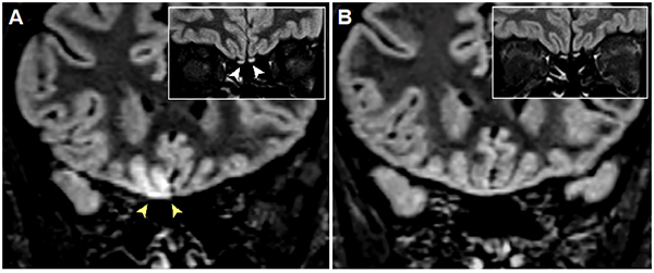
They found that many cases of mild COVID-19 present with cranial nerve abnormalities on neuroimaging, in particular abnormal signal within the olfactory tract in patients experiencing loss of taste and smell. In contrast, more serious conditions such as cerebral hemorrhage and posterior reversible encephalopathy syndrome appeared exclusive to patients who were classified as having severe disease, defined as requiring ICU admission or mechanical ventilation. Surprisingly, ischemic stroke was equally prevalent in both mild and severe cases, suggesting that SARS-CoV-2 virus may have unique coagulopathic properties that predispose to developing strokes even in patients that are not acutely ill.
Simon Pan, PhD, a third-year UCSF Medical Scientist Training Program (MSTP) student applying into diagnostic radiology next year, was the first author who conceptualized and led the project under the guidance of senior author Leo Sugrue, MD, PhD, an assistant professor in the Neuroradiology Section at UCSF Radiology and director of the UCSF Laboratory for Precision Neuroimaging. William Chen, MD, and Joe Darryl Baal, MD, residents in the UCSF Radiation Oncology and Diagnostic Radiology programs, also assisted in data collection and analysis.
“Clinical imaging data, along with basic and translational research, will be important in unraveling how this virus attacks the central nervous system. For example, gene expression studies in the mouse and CSF studies in humans suggest that the virus does not directly invade neurons,” says Dr. Pan. “The prevalence of neurological symptoms in SARS-CoV-2 infection has been one of the big unknowns to emerge from this pandemic. Neuroimaging has provided us with some of the earliest clues to understand the cause of these symptoms and whether they are specific to COVID-19 or simply manifestations of severe systemic illness. This knowledge can help guide the management of patients with these complications and even help identify asymptomatic but infectious carriers.”
“Eventually prospective longitudinal studies will help clarify which of these reported findings are directly related to COVID-19 rather than systemic illness,” adds Dr. Sugrue. “But in the meantime, in such an uncertain and fast-evolving situation, we need to glean what we can from the available evidence.”