Scientists at UCSF Study Impact of 68Ga-PSMA-11 PET on Post Radical Prostatectomy (RP) Salvage Radiotherapy

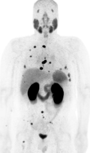
Besides skin cancer, prostate cancer is the most common cancer in American men, according to the American Cancer Society. Recurrences of prostate cancer after a patient undergoes radical prostatectomy (RP), an operation to remove the prostate gland and tissues surrounding it, is a current research topic. Innovative interdisciplinary research comes from collaboration between multiple departments. Recently, scientists from the UC San Francisco Departments of Radiology and Biomedical Imaging, Urology and Radiation Oncology came together to identify locations of prostate cancer recurrence after radical prostatectomy (RP) with prostate-specific antigen (PSA) <2 by Gallium-68 prostate-specific membrane antigen (PSMA)-11 Positron Emission Tomography (PET) imaging (68Ga-PSMA-11 PET).

This retrospective review of patients with PSMA-PET imaging looked at 125 patients following RP with low PSA (≤2.0 ng/mL) and assessed if the recurrent disease was within standard radiation target volumes.  They compared patient and clinical variables between men with recurrences covered by standard salvage radiation fields and those with recurrences outside of standard fields. Overall, they found that 68Ga-PSMA-11 PET detects disease in a majority of patients with PSA ≤2.0 following RP. Nearly one-third of men had PSMA-avid disease that would be missed by standard radiation fields. Overall, they concluded that 68Ga-PSMA-11 PET is an imaging modality that can dramatically impact the design and use of post-RP salvage radiotherapy. The results were published in the July 2019 issue of Urology.

Thomas Hope, MD, associate professor in residence in the Abdominal Imaging and Nuclear Medicine Sections at the UC San Francisco Department of Radiology and Biomedical Imaging was an author on this study. Other authors from UCSF include Lauren Boreta, MD Susan Wu, MD and Melody Xu, MD (Radiation Oncology); Adam Gadzinski, MD, Kirsten Green, MD, MS, Kathryn Quantrom, Hao Nguyen, MD, Peter Carroll, MD, MPH and Felix Feng, MD, first author (Urology).

Related Content