Senator McCain’s Diagnosis Brings Glioblastoma to the Forefront

Senator John McCain’s recent glioblastoma diagnosis brings to light the impact of this deadly disease. Unfortunately, glioblastoma, the most aggressive primary brain tumor in adults, also happens to be the most common. And despite improvements in surgical technique and evidence-based therapies, prognosis remains dismal with less than five percent of patients surviving five years beyond diagnosis.

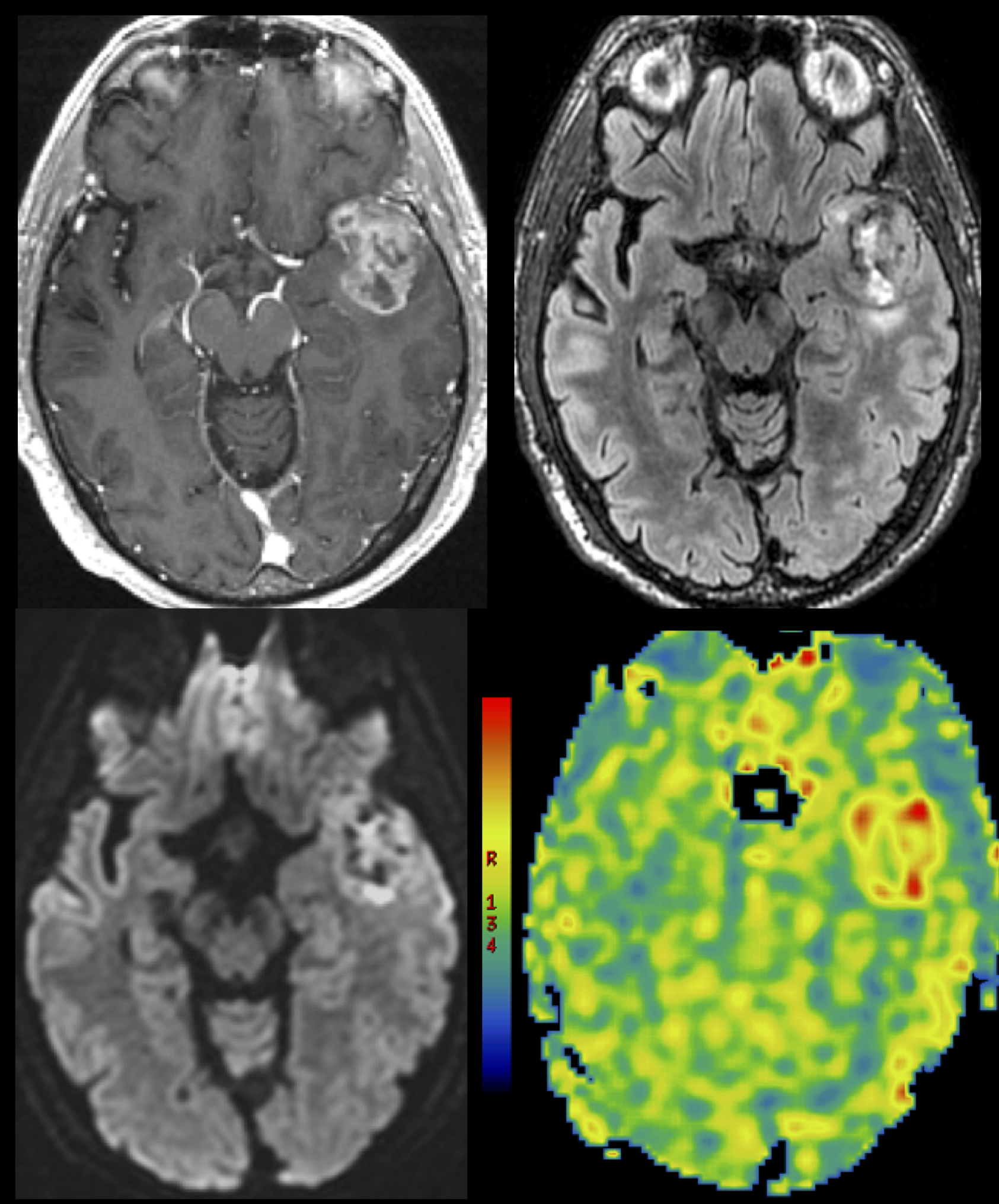
Radiology plays an integral role in the diagnosis, treatment planning, and monitoring of brain tumors. Every day, brain tumor patients visit the UCSF Department of Radiology and Biomedical Imaging for MR imaging. For patients, these visits are often emotional events as the imaging findings determine the course of their care. At UCSF, neuroradiologists interpret each scan in the context of the patient’s pathology and therapy. And, in addition to conventional structural MR imaging, we routinely incorporate biology-driven MR imaging techniques. On the biomedical imaging front, UCSF researchers are working to incorporate multiparametric and molecular imaging techniques to mirror advances in brain tumor genetics that will allow doctors to better understand tumor pathophysiology and deliver tailored therapy.

UCSF neuroradiology also plays an integral role in weekly multidisciplinary tumor boards. Neuroradiologists work with experienced neuro-oncologists, neuropathologists, neurosurgeons, and radiation oncologists to delineate individual treatment plans for each patient. In these ways, imaging provides a unique tool to personalize diagnosis and treatment of glioblastoma and other brain tumor patients.

We wish the best for Sen. McCain in his treatment and recovery from this devastating disease. We are proud to work alongside our colleagues to deliver individualized patient care in a collaborative setting and continue groundbreaking research together.

Tags: