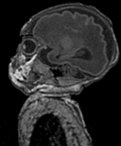
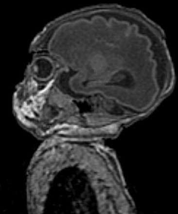
UCSF Leads the Way in Neonatal Neuroimaging with MRI
Newborn babies, whether born prematurely or at term, have a very different brain than a mature child. The brain is very small, the connections have not been fully established or matured, and the axons, the long processes that connect the nerve cells and allow intercommunication among them, have not yet been covered with myelin, a substance that increases the speed of transmission of communication. In addition, the immature brain is at significant risk for injury, in part because other body systems, including the heart, lungs, blood vessels, and immune system, are still immature. The immaturity of the nervous system makes neurological examination very challenging, even for experts. Therefore, brain imaging is a crucial test to evaluate newborns who are suspected of having suffered any sort of injury.
With the help of child neurologists, neonatologists, and imaging scientists, neuroradiologists at UCSF have pioneered the use of Magnetic Resonance Imaging (MRI) to look for any evidence of injury or abnormal development in the brains of newborns. This sort of medical imaging evaluation is not easy. It requires specialized nurses and doctors to transport the baby safely to the MRI scanner and back to the Intensive Care Nursery. It also requires specially designed protocols that allow assessment of brain anatomy, identification and specification of any areas of injury (including blood), assessment of blood flow, assessment of the microstructure of the brain, and assessment of brain chemistry. This information is used to diagnose the injury, but also to help in finding the cause of the injury and to provide rapid feedback about whether treatments are working. These MRI studies have made a very significant contribution to the decreased frequency of neonatal brain injury and the improved outcomes of injured neonates over the past 20 years.
For more information on the strides UCSF is making in newborn neuroimaging and the Neuro- Intensive Care Nursery at UCSF Children’s Hospital, please click here.
To learn more about Dr. Barkovich’s research and its impact on pre- term babies’ exposure to steroids associated with brain growth, please see here.
