Testimonials from T32 Participants
Lindsay Busby, MD, MPH - T32 Fellow 2017-2018
Kimberly Kallianos, MD - T32 Fellow 2015-16
Current Position:
UCSF Cardiac and Pulmonary Imaging Fellow
Training:
Residency: UCSF
Medical Education: Harvard Medical School
Research Project:
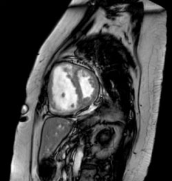
My primary T32 project focused on the use of cardiac magnetic resonance (CMR) for assessment of myocardial disease in patients with pulmonary hypertension under the mentorship of Dr. Karen Ordovas. A limitation of the current management of patients with pulmonary hypertension is the requirement for invasive cardiac catheterization. CMR imaging allows noninvasive evaluation of cardiac structure and function, and therefore may be a useful tool for evaluation of myocardial dysfunction in this patient population. The preliminary results of my T32 project were presented at the Society of Thoracic Radiology annual meeting, the Association of University Radiologists Research Scholar program, and have been submitted for publication.
How the T32 program was beneficial to my career:
The T32 fellowship year allowed me the opportunity to contribute to multiple research projects, collaborate with co-investigators across departments, and to complete dedicated coursework in clinical research methods, epidemiology, statistics, and grant writing. The skills that I have built through the T32 grant have prepared me to begin an academic career, and will be essential as I transition to my upcoming role as junior faculty.

Figure: Sagittal Steady State Free Precession CMR in a patient with pulmonary hypertension.
Robert Flavell, MD, PhD - T32 Fellow 2014-15
Current position:
Assistant Professor, Nuclear Medicine, UCSF Department of Radiology and Biomedical Imaging
Training:
Fellowship: University of California, San Francisco, Nuclear Medicine
Residency: University of California, San Francisco
Medical Education: Weill Cornell Medical College
Research Project:
During my T32 fellowship year, I developed new molecular imaging methods for the detection and risk stratification of prostate cancer based on positron emission tomography (PET) and hyperpolarized 13C-MRI (HP-MRI), under the faculty mentorship of Drs. David Wilson, Zhen Wang, and John Kurhanewicz. These methods target the acidic interstitial microenvironment which is found in solid tumors. The techniques complement each other, as the PET method can detect sites of acidic pH in whole body imaging, while the HP-MRI method provides quantitative pH information on selected anatomic regions. The work was presented at conferences including the ISMRM, ISRS, and SNMMI meetings, and published in Bioconjugate Chemistry and Chemical Communications.
How the T32 program was beneficial to my career:
The T32 program allowed me to return to the laboratory and develop a new research focus, without extending the length of residency training. I believe this is a huge benefit for MD/PhD residents due to the difficulties in balancing basic science research and clinical medicine, and completing training in a reasonable amount of time. It provided preliminary data which allowed me to get grants from the RSNA, SNMMI, and department of defense, and helped propel me into my first academic position.
Matthew Bucknor, MD - T32 Fellow 2012-13
Current position:
Assistant Professor, UCSF Department of Radiology and Biomedical Imaging, Musculoskeletal Radiology
Training:
Fellowship: Stanford University
Residency: University of California, San Francisco
Medical Education: Stanford University
Research Project:
During my T32 fellowship year, I studied musculoskeletal applications of magnetic resonance-guided high intensity focused ultrasound (MRgHIFU) under the faculty mentorship of Dr. Thomas Link, Dr. Sharmila Majumdar, and Dr. Maythem Saeed. MRgHIFU is a novel ablation technique that uses focused sound waves to generate an ablative temperature at a single point. Clinically, it is currently most often used to treat bone metastases and uterine fibroids. Our group was specifically interested in technical factors which influenced new bone formation and bone remodeling following MRgHIFU. This work was presented at ISMRM and RSNA in 2013 and 2014, earning a trainee research prize at RSNA 2013. Subsequent papers were published in Radiology and Journal of Magnetic Resonance Imaging.
How the T32 program was beneficial to my career:
The T32 program was an incredible opportunity that gave me the time necessary to design and execute my own project from start to finish, the coursework needed to have a solid background in research fundamentals, and, most importantly, incredible access to a network of experienced faculty advisers who helped me overcome the inevitable hurdles along the way.
Sharon W. Kwan, MD - T32 Fellow 2009-10
Current position:
Assistant Professor, Department of Radiology, Interventional Radiology Section, University of Washington Medical Center, Seattle
Training:
Fellowship: University of California, San Francisco
Residency: University of California, San Francisco
Medical Education: Stanford University
Board Certification: Diagnostic Radiology
Research project:
I designed and performed two studies of national trends in the utilization of biopsies and interventional oncology procedures. I also conducted clinical projects related to interventional oncology and diagnostic imaging of the liver.
How the T32 program was beneficial to my career:
The most important thing that the T32 gave me was dedicated time to develop my own research ideas and critically evaluate my research directions. These require creative thinking and serious introspection, things that are not easily had when squeezing in research between cases or after a busy clinical day.
Gloria Chiang, MD - T32 Fellow 2009-10
Current position:
Assistant Professor, Division of Neuroradiology, Department of Radiology, Weill Medical College of Cornell University, New York
Training:
Fellowship: Neuroradiology, University of California, San Francisco (2012)
Residency: University of California, San Francisco (2011)
Medical Education - Harvard University (2006)
Board Certification - Diagnostic Radiology (2011)
Research project:
During my year as an NIH/NIBIB T32 Research fellow, I focused on characterizing a genetic risk factor for Alzheimer's disease, the apolipoprotein E gene, using structural, diffusion tensor, and arterial spin labeling perfusion imaging techniques, under the mentorship of Dr. Michael Weiner, the Principal Investigator of the Alzheimer's Disease Neuroimaging Initiative. Through this work, I discovered the potential of imaging, not only in early detection and diagnosis, but also in understanding the pathophysiological mechanisms of diseases and monitoring their progression. Several of our papers were published in the high-impact journals, Neurology, Radiology, and American Journal of Neuroradiology.
As a faculty member at Cornell, I'm continuing my interest in using multimodal imaging to better understand and detect preclinical Alzheimer's pathology. I recently received an NCATS/CTSC grant to fund a pilot study understanding the link between cerebrovascular disease and dementia.
How the T32 program was beneficial to my career:
The T32 program was a terrific opportunity to immerse myself in a dedicated year of research, coupled with intense training in biostatistics and research methodology through the Clinical and Translational Science Institute at UCSF.
Amita Kamath, MD, MPH - T32 Fellow 2008-09
Current position:
Assistant Professor of Radiology, Department of Radiology, Body Imaging Section, Mount Sinai Hospital
Training:
Fellowship: Body & Cardiovascular MRI, New York University Medical Center (2010)
Residency: Radiology, University of California, San Francisco (2009)
Internship: Internal Medicine, Duke University Medical Center (2005)
Medical Education: Duke University School of Medicine (2004)
Board Certification: Diagnostic Radiology, American Board of Radiology (2009)
Research Project:
For my T32 research year I studied radiation exposure associated with Computed Tomography in Emergency Department patients - I conducted a retrospective review of emergency department patients who received a CT scan over a 6 month time period. In collaboration with my research mentor, Dr. Rebecca Smith-Bindman, I evaluated the cumulative use of CT over a 1 year time period from the initial CT scan in certain cohorts of patients that are common in the ED setting (trauma, altered mental status, pancreatitis, renal stone disease). I found that use of CT was variable in the ED depending on clinical diagnosis, and that certain cohorts of patients were more prone to receiving CTs, and multiple CTs over a 1 year time period than others. I presented my results at the 2009 RSNA meeting.
How the T32 program was beneficial to my career:
I learned how to formulate my own research hypothesis and through additional coursework I took during my research year in statistical analysis and project design, I was able to hone my skills in collecting/analyzing data and writing clinical research papers. These skills have proven valuable to me as I continue to use them in daily practice in my academic career at Mount Sinai.
Jafi A. Lipson, MD - T32 Fellow 2007-08
Current position:
Assistant Professor, Department of Radiology, Breast Imaging Section, Stanford University School of Medicine
Training:
Fellowship: Stanford University - Dept of Radiology, CA USA (2010)
Residency: University of California, San Francisco (2009)
Internship: St. Mary's Medical Center - Orthopedic Surgery CA (2005)
Medical Education: University of California, San Francisco (2003)
Board Certification: Diagnostic Radiology, American Board of Radiology (2009)
Research project:
Dr. Lipson's prior research focused on radiation dose with CT and the associated risk of cancer. As an NIH-funded T32 Research Fellow under the mentorship of Dr. Rebecca Smith-Bindman, Dr. Lipson conducted a study of four Bay Area hospitals in which she reviewed 1,200 CT examinations and CT radiation dose reports; estimated the effective dose from each examination; and calculated the associated risk of cancer attributable to that effective dose. Her study culminated in an article entitled "Radiation Dose Associated with Common Computed Tomography Examinations and the Associated Lifetime Attributable Risk of Cancer" (Arch Intern Med. 2009 Dec 14;169(22):2078-86), which is one of the first articles to raise national attention regarding the issue of medical radiation and the need for clinical practice guidelines to track and reduce dose.
Dr. Lipson's current research interests include the classification and quantification of dynamic contrast enhanced breast MRI patterns of response to therapy in the neoadjuvant treatment of triple-negative and BRCA-associated breast cancer; mammographic density and breast cancer risk; the evaluation of novel technologies for early breast cancer detection using contrast enhanced spectral mammography, digital breast tomosynthesis, and high resolution breast MRI; and the identification of new molecular imaging biomarkers of cancer burden and neoadjuvant chemotherapy response.
How the T32 program was beneficial to my career:
The T32 program provided the opportunity for a year of dedicated research to execute a project of my own design under exceptional mentorship and paved the way for my academic career in radiology.
Jeremy C. Durack, MD - T32 Fellow 2006-07
Current position:
Associate Attending, Department of Radiology, Sloan Kettering Institute for Cancer Research, New York
Training:
Fellowship: University of California, San Francisco
Residency: University of California, San Francisco
Medical Education: Stanford University School of Medicine
Board Certification: Diagnostic Radiology
Research project:
During my T32 fellowship I worked on a project comparing traditional methods of learning clinical anatomy (2D textbook images) with 3D digital radiographic anatomy. In a collaboration with UCSF surgeons and staff at the Mulago Hospital in Kampala, Uganda, I helped to develop a program to assess the impact of the Focused Assessment with Sonography for Trauma (FAST) exam in a casualty ward.
How the T32 program was beneficial to my career:
The T32 program provided the ideal structure and dedicated time to develop my interests in Radiologic Informatics. I have since become the Informatics Chair for the Society of Interventional Radiology and continue to work on informatics solutions to improve clinical care in the field of image-guided therapies.
Where are They Now
2023-24 T32 Trainees
- Joe Baal, MD - Musculoskeletal Fellow, Department of Radiology, UCSF
- Madhavi Duvvuri, MD, MPhil - Neuroradiology Fellow, Department of Radiology, UCSF
- Charlie Wang, MD, PhD - Neuroradiology Fellow, Department of Radiology, UCSF
2022-23 T32 Trainees
- Upasana Upadhyay Bharadwaj, MD - Research Scientist at the Sports Performance and Research Center (SPARC), Emory University, Atlanta
- Domenique Escobar, MD - Fellow, Urologic Oncology, University of Southern California, Los Angeles, CA
- Masis Isikbay, MD – Assistant Professor, Department of Radiology, UCSF
2021-22 T32 Trainees
- Jeannette Mathieu, MD, Attending, Summit Physician Specialists, Murray, UT
- Samantha Pisani Petrucci, MD, PhD, Faculty, University of Colorado
- Allen Ye, MD, PhD, Assistant Professor, Department of Radiology and Biomedical Imaging, UCSF, ZSFG, San Francisco
2020-21 T32 Trainees
- Evan Calabrese, MD, PhD - Assistant Professor of Radiology (Neuroradiology), Duke University
- Tyler Gleason, MD - Quantum Radiology (Neuroradiology), Marietta/Atlanta, GA
- Milan Manchandia, MD - Massachusetts General Hospital (Neuroradiology)
2019-20 T32 Trainees
- Mithun Diwakar, MD, PhD - Assistant Professor, Department of Radiology, University of Colorado School of Medicine (Neuroradiology)
- Kirti Magudia, MD, PhD - Assistant Professor of Radiology, Duke University School of Medicine
- Maya Vella, MD - Assistant Professor of Radiology, University of California, San Francisco
- Jae Ho Sohn, MD, MS - Assistant Professor of Radiology, University of California, San Francisco
2018-19 T32 Trainees
- Geraldine Tran, MD - Diagnostic Radiology Resident, Boston University - Boston Medical Center
- John Colby, MD, PhD - Radiologist, Private Practice, California Advanced Imaging Medical Associates (CAIMA), North Bay Division, CA
- Andrew Callen, MD - Assistant Professor, University of Colorado SOM
- Andreas Rauschecker, MD, PhD – Assistant Professor, University of California, San Francisco
2017-18 T32 Trainees
- Matthew Barkovich, MD - Assistant Professor, University of California, San Francisco
- Joseph Leach, MD, PhD - Assistant Professor, Abdominal Imaging and Ultrasound, University of California, San Francisco
- Lindsay Busby, MD, MS - Private Practice, Jefferson Radiology, Hartford, CT
- Peter Chang, MD – Assistant Professor, University of California, Irvine, Director, Center for Artificial Intelligence in Diagnostic Medicine and Co-Founder and CEO of Avicenna.ai
2016-17 T32 Trainees
- Hari Trivedi, MD - Assistant Professor, Emory University, Atlanta
- Cyrus Raji, MD, PhD - Assistant Professor, Neuroradiology, Washington University in St. Louis
- Mariam Aboian, MD, PhD - Assistant Professor, Radiology & Biomedical Imaging, Yale School of Medicine
- Elizabeth Tong, MD - Assistant Professor, Radiology - Pediatric Radiology, Stanford University
2015-16 T32 Trainees
- Kimberly Kallianos, MD - Assistant Professor, Cardiac & Pulmonary Imaging, University of California, San Francisco
- Christopher Mutch, MD, PhD - Radiologist, Bay Imaging Consultants in Oakland, California
- Javier Villanueva-Meyer , MD - Assistant Professor, Neuroradiology, University of California, San Francisco
- Vignesh Arasu, MD - Radiologist, Kaiser Permanente in Vallejo, California
2014-15 T32 Trainees
- Jacob D. Brown, MD, PhD – Utah Radiology Associates
- Nicholas S. Burris, MD - Assistant Professor, Radiology, Division of Cardiothoracic Radiology, University of Michigan Health System
- Robert R. Flavell, MD, PhD - Assistant Professor, Nuclear Medicine, University of California, San Francisco
- Marc C. Mabray, MD - Assistant Professor, Neuroradiology, University of New Mexico, Albuquerque
2013-14 T32 Trainees
- Akash Kansagra, MD - Assistant Professor of Radiology and Neurological Surgery at Mallinckrodt Institute of Radiology, Washington University in St. Louis
- Ramon Barajas, MD - Assistant Professor, Neuroradiology, Oregon Health & Science University
- Parham Moftakhar, MD - Radiologist, Wilshire Center
- John-Paul Yu, MD, PhD - Assistant Professor, University of Wisconsin School of Medicine and Public Health
2012-13 T32 Trainees
- Matt Bucknor, MD - Associate Professor, University of California, San Francisco
- Amaya Basta, MD - Radiologist in Seattle, Washington
- Yuo-Chen Kuo, MD - Radiologist, Maimonides Medical Center
- Anand Patel, MD - Radiologist, Providence Little Company of Mary Medical Center
2011-12 T32 Trainees
- Victor Sai, MD - Assistant Professor, University of California, Los Angeles
- John Mongan MD - Associate Professor, University of California, San Francisco
- Etay Ziv, MD - Faculty, Memorial Sloan Kettering, New York
- Abby Deans, MD, PhD - Radiologist, Crozer-Chester Medical Center, Delaware County Memorial Hospital
2010-11 T32 Trainees
- Jason Talbott, MD, PhD - Associate Professor at University of California, San Francisco
- D. Thor Johnson, MD, PhD - Associate Professor, Medical University of South Carolina
- Elanasif Arrayeh, MD - Instructor of Radiology and Radiological Science, Johns Hopkins, Baltimore
- Ania Szary, MD - Private Practice, Kaiser Permanente
2009-10 T32 Trainees
- Timothy Shepherd, MD, PhD - Assistant Professor at NYU
- David Naeger, MD - Professor & Vice Chair at the University of Colorado, and Director of Radiology, Denver Health, CO
- Gloria Chiang, MD - Associate Professor at Weill Cornell Medical College, NY
- Sharon Kwan, MD - Associate Professor at University of Washington, Seattle
2008-09 T32 Trainees
- Amita Kamath, MD - Assistant Professor at Mount Sinai Hospital, NY
- Maureen Kohi, MD - Chair of the Department of Radiology at University of North Carolina, Chapel Hill
- Dorota Wisner, MD, PhD - Assistant Professor at University of California, San Francisco
- Jeremy Collins, MD, PhD - Adjunct Associate Professor of Radiology at Northwestern University, IL
2007-08 T32 Trainees
- Akhilesh Sista, MD - Associate Professor at Weill Cornell Medical College, NY; Section Chief, Vascular Interventional Radiology
- David Wilson, MD, PhD - Professor at University of California, San Francisco
- Jafi Lipson, MD - Associate Professor at Stanford University
- Nick Costouros, MD - Clinical Instructor at University of California, San Francisco, WOS at Palo Alto Medical Foundation, Palo Alto, CA.
2006-07 T32 Trainees
- Shiva Badiee, MD - Antioch Medical Center, Antioch, CA
- Jeremy Durack, MD - Associate Attending at Memorial Sloan Kettering Institute for Cancer Research, NY
- Z. Jane Wang, MD - Professor at University of California, San Francisco
2005-06 T32 Trainees
- Christopher Hess, MD, PhD - Professor and Chair at University of California, San Francisco
- Antonio Westphalen, MD - Professor of Radiology, Urology, and Radiation Oncology; Chief of the Body Section at University of Washington
- Matthew Falk, MD - VA Northern California Health Care System, Martinez, CA