Vanitha Sankaranarayanan Gives Her All, Benefiting Surgeons in the Operating Room
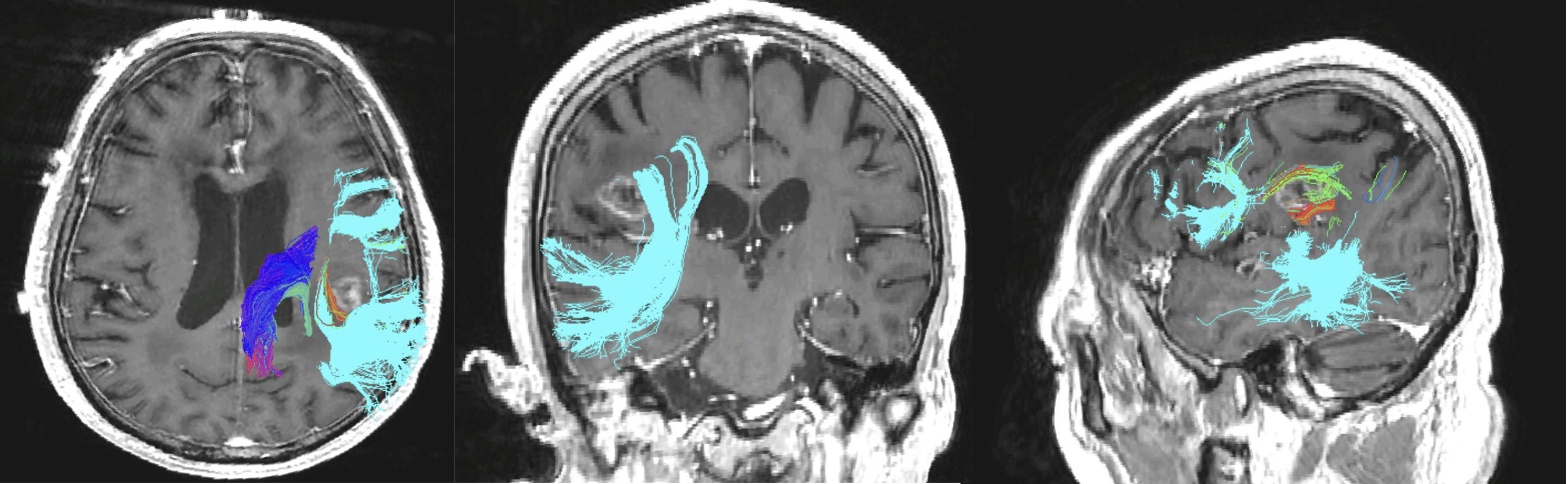
Vanitha Sankaranarayanan stood in awe, dressed head-to-toe in sterile scrubs, in the operating room. She observed as a neurosurgeon performed brain surgery guided by critical information from a diffusion tenser imaging (DTI) brain scan displayed on a digital screen. Through sensors on the patient’s physical brain, the surgeon could see the brain’s essential motor pathways colorfully illuminated on-screen, and where they were in relation to the tumor and how best to avoid them during surgery.
“It was inspiring to see that what I am doing is crucial,” says Sankaranarayanan. “I was nervous, but it was really cool to see how the surgeons operate.”
Observing this surgery shortly after she joined UCSF’s 3DLab in 2009 has influenced her work ever since. This experience gave her an opportunity to see how DTI tractography – the eloquent neuronal pathways she was hired to create through post-processing of MRI images – were being used in a neurosurgical procedure.

Starting at its inception, Sankaranarayanan was the third full-time employee at the 3DLab, a resource within UCSF’s Center for Intelligent Imaging (ci2) that provides a range of advanced image processing. UCSF physicians use 3DLab services to enhance clinical diagnosis, surgical planning, treatment planning and response, intra–operative navigation, and patient education. During the past 15 years, her work as an image analysis and visualization lead has grown alongside the 3DLab. Early on she created about 10 DTI brain tractography studies each month.
Today, she produces as many as 65-70 per month, and her 3DLab colleagues have increased to 10. She’s also a leader of the lab’s Engineering and Translational Research group, which is responsible for translating departmental research for clinical use. In addition, she creates T1rho/T2 maps that indicate cartilage degeneration in the knee and hip, among other pipeline projects deploying soon.
“I love what I’m doing, and I am fortunate to get to work with the team who developed the algorithm,” says Sankaranarayanan, referring to the technology behind DTI, developed by UCSF researchers and transitioned to the clinical environment to assist neurosurgeons.
From Engineering to Biomedical Imaging
At the start of her UCSF career, Sankaranarayanan knew more about technology and computer algorithms than brain anatomy.
Sankaranarayanan grew up in Southern India and obtained a bachelor of science degree in electronics and communication engineering. When she came to the United States, she began working in the software industry, and although she could envision a solid career in IT programming, she believed it would feel too routine. Instead, she followed her heart to pursue a career she was convinced would make a more meaningful difference in people’s lives.
Arising from exposure to a biomedical instrumentation undergraduate elective course, she explored biomedical engineering. She enrolled in UCLA’s graduate biomedical program and earned her master’s degree, learning anatomy, medical imaging, and all about MRI and CT technology.
“I was fortunate that the neuroradiologists were just down the hall,” says Sankaranarayanan from her China Basin office, recalling her first days at UCSF. She didn’t want to make mistakes, so she’d walk down the hall and sit with the neuroradiology fellows to ask questions or get advice on how particular tumors affect the brain. In turn, they shared their latest research and papers of interest.
“Today I know more brain anatomy, than the technology behind it,” she says, amused by how her expertise has shifted over time.

In the beginning, Sankaranarayanan’s work focused on interior brain tractography of motor pathways. Then neurosurgeons requested to see optic and language pathways too, which Sankaranarayanan now includes, using the same DTI techniques that involve seeding a region of interest on the MRI, and then working with an algorithm to generate the pathways. Advances in technology and computing power have dramatically reduced the processing time for brain tractography, increasingly used when tumors are located close to motor, optic, and language pathways. Now, DTI imaging is also being used for arteriovenous malformation (AVM) and epilepsy pre-op cases.
Giving Her All, 100%
Sankaranarayanan takes every project that comes her way and gives it her all, including around the clock late night and weekend work that is sometimes required for emergency surgeries. Her strong work ethic and commitment to excellence was instilled in her at a young age.
“My dad is my inspiration. He would do whatever he was given 100%, and that’s what I want to emulate,” she says. “Whatever job is given to me; I give it my 100%.” It’s a spirit echoed by one of her favorite verses in the Bhagavad Gita, the Hindu spiritual scriptures, that translates to: Whatever work you do, do it fully, and don’t expect any results. Focus on the job, focus on the work.
Her dad’s wish was for his children to achieve a university-level education. And Sankaranarayanan takes great pride in her education, not only for herself, but for her own children.
“We’re a UC family,” she says proudly. Her oldest son attends UC Santa Barbara, and her youngest son is attending UC Irvine this year. Since her oldest son’s graduation was interrupted by the pandemic, the family cherished their youngest son’s traditional high school graduation earlier this year.
For the Sankaranarayanans, family time often includes the fun and friendly competition of board games like Monopoly. And when Sankaranarayanan takes time for herself, she enjoys color-pencil sketching, a passion born out of the pandemic when time previously spent commuting transitioned to self-care and relaxing hobbies.
Embodying the spirit of giving 100%, Sankaranarayanan gives her all no matter the task at hand.
“At the end of the day, I get the satisfaction that I’ve helped do something that is helping a patient’s life,” says Sankaranarayanan. “I can’t imagine what they are going through, but at least I’m helping them in some way, and that is meaningful to me.”


