Image
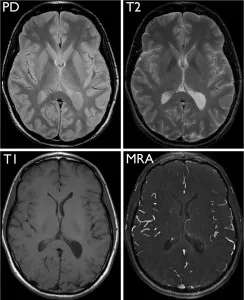
four axial brain images side by side showing PD, T2, T1, and MRA MRI sequences for comparison
Announcement April 5, 2012 3 mins read

Exploring the Brain: How Are Brain Images Made with MRI?

FacebookEmailLinkedin

The following article was written by Christopher P. Hess, M.D., Ph.D, and Derk Purcell, M.D, Assistant Clinical Professor in the Department of Radiology and Biomedical Imaging at UCSF.

The complexity of the organ that determines how a person thinks, moves, feels, and remembers is overshadowed only by its unique vulnerability. The brain is hidden from direct view by the skull, which not only shields it from injury but also hinders the study of its function in both health and disease. The cells in the arteries that supply the brain are so tightly bound that even most normal cells in the bloodstream are prevented from crossing the so-called “blood-brain barrier,” thereby rendering the normal chemistry of the brain invisible to the routine laboratory blood tests that are often used to evaluate the heart, liver or kidneys.

Computed tomography (CT) and magnetic resonance imaging (MRI) have revolutionized the study of the brain by allowing doctors and researchers to look at the brain noninvasively. These diagnostic imaging techniques have allowed for the first time the noninvasive evaluation of brain structure, allowing doctors to infer causes of abnormal function due to different diseases.

Image
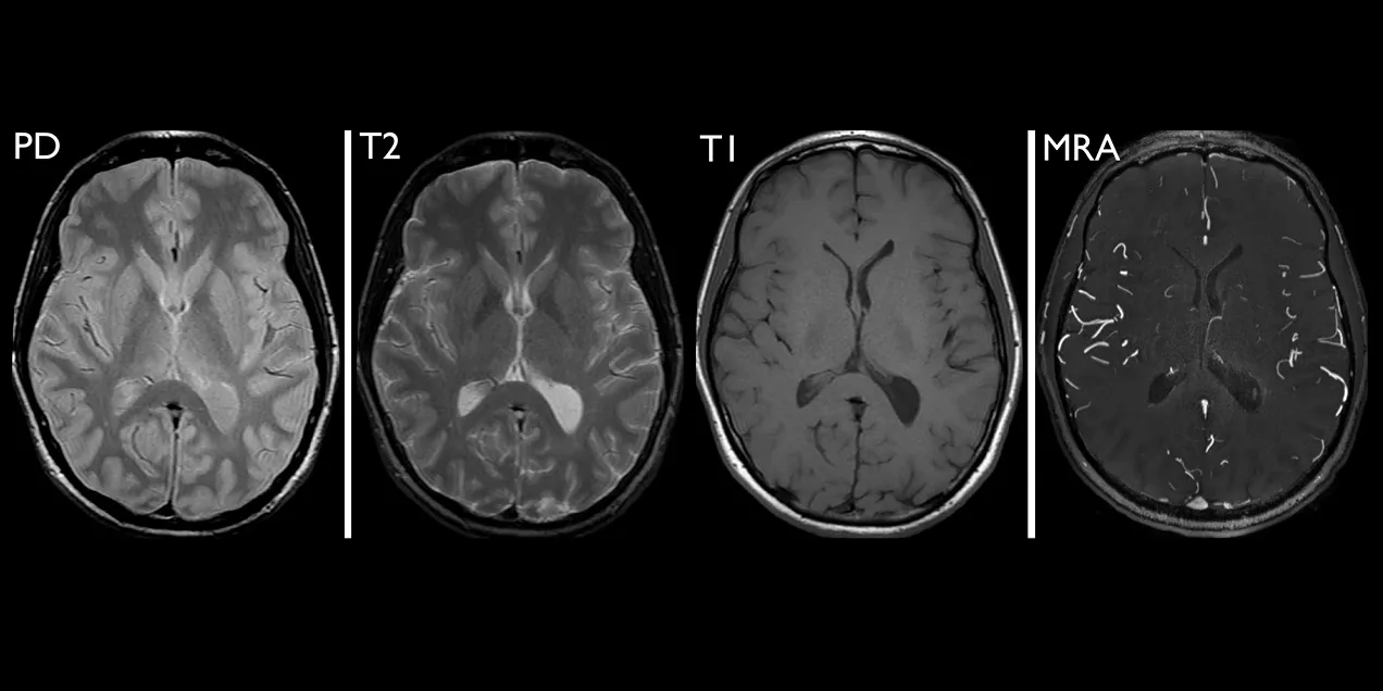
four axial brain images side by side showing PD, T2, T1, and MRA MRI sequences for comparison
Selected images from a brain MRI obtained in a normal volunteer, all acquired at the same level through the head. Proton density (PD, top left), T1-weighted (T1, bottom left), T2-weighted (T2, top right), and MR angiography (MRA, bottom right) scans have very different image contrast that reveals specific information about various structures in the brain.

Magnetic resonance imaging relies upon signals derived from water molecules, which comprise between 70% and 80% of the average human brain. This ubiquitous biological molecule has two protons, which by virtue of their positive charge act as small magnets on a subatomic scale. Positioned within the large magnetic field of an MR scanner, typically 30 to 60 thousand times stronger than the magnetic field of the earth, these microscopic magnets collectively produce a tiny net magnetization that can be measured outside of the body and used to generate very high-resolution diagnostic images that reveal information about water molecules in the brain and their local environment.

Protons placed in a magnetic field have the interesting property that they will absorb energy at specific frequencies, and then re-emit the energy at the same frequency. To measure the net magnetization, a coil placed around the head is used to both to generate electromagnetic waves and measure the electromagnetic waves that are emitted from the head in response. Unlike CT, which uses x-rays with very high frequency energy, MRI uses electromagnetic waves in the same portion of the electromagnetic spectrum as broadcast FM radio.

MRI is also a tomographic imaging modality, in that it produces two-dimensional images that consist of individual slices of the brain. Images in MRI need not be acquired transaxially, and the table or scanner does not move to cover different slices in the brain. Rather, images can be obtained in any plane through the head by electronically “steering” the plane of the scan. Precise spatial localization is achieved through a process termed gradient encoding. The switching on and off of these magnetic field gradients are the source of the loud clicking and whirring noises that are heard during an MRI scan. While this process requires more time than CT scanning, imaging can be performed relatively rapidly using modern gradient systems.

Image intensity in MRI depends upon several parameters. These are proton density, which is determined by the relative concentration of water molecules, and T1, T2, and T2* relaxation, which reflect different features of the local environment of individual protons. The degree to which these parameters contribute to overall image intensity is controlled by the application and timing of radiofrequency energy through different pulse sequences.

From here, the interpretation of brain images requires a detailed knowledge of anatomy and a comprehensive understanding of how different diseases affect the brain and its supporting structures. Radiologists are medical doctors who specialize in acquiring and interpreting images, while neuroradiologists focus specifically on imaging of the nervous system. These specialists work together with neurologists, neurosurgeons and primary care physicians to use CT and MRI to diagnose disorders of the brain and understand their significance for patients.

For more information on neuroradiology from the UCSF blog, please see here.