Over the past five years I have worked on a number of projects related to neuroendocrine tumors. We started by imaging patients with 68Ga-DOTA-TOC PET. Currently we are running two trials using somatostatin receptor targeted therapies to treat patients. We label compounds in house to offer unique treatments, and are studying different routes of administrations in order to increase treatment efficacy.

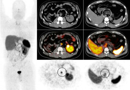
DOTA-TOC PET/CT in patient after resection of ileal primary, demonstrating focal uptake along the aorta (middle column) consistent with small residual disease. Right column demonstrates physiologic uptake in the uncinate process.
Clinical Trials
- Evaluation of Gallium-68 DOTA-TOC Imaging of Somatostatin Receptor Positive Malignancies (NCT02177773)
- Expanded Access Protocol for Therapeutic Use of 177Lu-DOTA0-Tyr3-Octreotate in Patients With Inoperable, Somatostatin Receptor Positive, Midgut Carcinoid Tumors, Progressive Under Somatostatin Analogue Therapy (NCT02705313)
- Yttrium-90 DOTA-TOC Intra-arterial (IA) Peptide Receptor Radionuclide Therapy (PRRT) for Neuroendocrine Tumor (pending)
Publications
- Hope TA, Hernandez-Pampaloni H, Nakakura E, VanBrocklin H, Slater J, Jivan S, Aparici CM, Yee J, Bergsland E. Simultaneous 68Ga-DOTA-TOC PET/MRI with gadoxetate disodium in patients with neuroendocrine tumor. Abdominal Imaging. 2015 Aug;40(6):1432-40.