spec_project.jpg

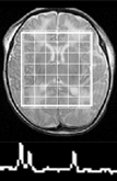
Studies have illustrated prognostic value in determining metabolite ratios between Lactate (Lac), N-acetyl aspartate (NAA), and Choline (CHO) from newborn infants. The goal of this project is to study neonates with signs of HIE by looking at the metabolite ratio differences between Normal and Abnormal outcome groups.  We also perform longitudinal comparisons to determine changes in metabolite ratio across outcome groups.